No a las radiografías indiscriminadas
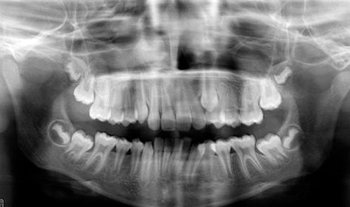
Las imágenes radiográficas son una información básica a la hora de tomar decisiones terapéuticas.
Ni siquiera las bajas dosis de radiación están exentas de riesgos. Un porcentaje importante de las exploraciones dentales se realizan a niños y a jóvenes, cuyos órganos son 10 veces más sensibles que en los adultos. Por ellos estamos obligados a utilizar estas técnicas diagnósticas con cautela y siempre en relación a los beneficios que éstos nos aportan.
Es nuestro compromiso ejercer la ortodoncia en Cáceres de manera responsable.
Las imágenes radiográficas son una información básica a la hora de tomar decisiones terapéuticas.




